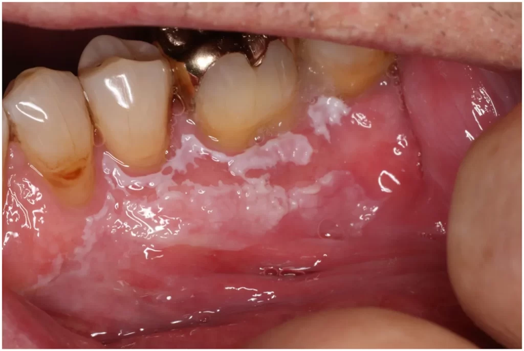
Ulcers

Call Us when you Need Help!
Book To Call : +918627069651

What Are Mouth Ulcers?

Mouth ulcers, also known as canker sores, are small, painful sores that develop on the inside of the mouth, lips, cheeks, or tongue. They are usually round or oval with a white, yellow, or gray center and a red border.

Common Causes of Mouth Ulcers:

  • Minor injuries from biting, sharp teeth, or dental appliances.
  • Stress or hormonal changes.
  • Nutritional deficiencies (like iron, vitamin B12, or folic acid).
  • Certain foods (spicy, acidic, or salty foods).
  • Infections or underlying medical conditions.
Mouth ulcers are usually harmless and heal on their own within 1–2 weeks, but severe, persistent, or recurring ulcers may require evaluation by a dentist or doctor.

Types of ulcers

Canker Sores (Aphthous Ulcers)

The most common type of mouth ulcers. They appear as small, round or oval sores with a white, yellow, or gray center and a red border. Minor trauma, stress, acidic or spicy foods, and nutritional deficiencies can trigger them. They are usually painful.

Oral Lichen Planus

A chronic inflammatory condition that causes white, lace-like patches or sores inside the mouth, often accompanied by discomfort or a burning sensation. Lesions can persist for long periods and may require monitoring due to potential precancerous changes.

Leukoplakia

Characterized by white or gray patches inside the mouth, usually on the tongue, gums, or inner cheeks. It results from excessive cell growth and is often associated with tobacco use, chronic irritation, or friction. These patches are generally non-cancerous, but regular monitoring is important.

Erythroplakia

Red patches that appear on the oral mucosa, including the tongue, inner cheeks, or floor of the mouth. It is often linked to tobacco use or chronic irritation. Unlike leukoplakia, erythroplakia is more likely to be precancerous or cancerous and requires prompt evaluation.

Oral Thrush (Candidiasis)

A fungal infection caused by the overgrowth of Candida albicans. It appears as white or creamy patches, often with underlying redness, and may cause soreness, burning, or difficulty swallowing.

Mouth Cancer (Oral Cancer)

In some cases, persistent red or white sores that do not heal may indicate oral cancer. These ulcers may bleed, form lumps, or cause pain and numbness, and they can appear on the tongue, lips, cheeks, gums, or floor of the mouth. Any ulcer lasting more than three weeks should be examined by a dental professional immediately.

How Mouth Ulcers and Oral Lesions Occur

Mouth ulcers and oral lesions can develop due to a variety of factors affecting the health of your mouth and immune system. Common causes include:

  • Minor Injuries or Irritation: Accidental bites, sharp teeth, dental appliances, or rough foods can trigger sores.
  • Stress and Hormonal Changes: Emotional stress or hormonal fluctuations can make the mouth more prone to ulcers.
  • Nutritional Deficiencies: Lack of essential nutrients like iron, folic acid, or vitamins may contribute to sore formation.
  • Immune System Reactions: Some conditions occur when the immune system mistakenly attacks the cells lining the mouth.
  • Infections: Bacterial, viral, or fungal infections can cause lesions or white/red patches in the mouth.
  • Chronic Irritation or Lifestyle Factors: Tobacco, alcohol, and poor oral hygiene can lead to persistent sores or precancerous changes.
  • Underlying Health Conditions: Conditions like diabetes or weakened immunity can increase the risk of oral lesions.

By maintaining good oral hygiene, a balanced diet, and regular dental check-ups, many mouth ulcers and oral lesions can be prevented or detected early.

When to See a Doctor for Mouth Ulcers

Most mouth ulcers heal on their own within 1–2 weeks, but you should consult a dentist or doctor if you notice any of the following:

  • Ulcers lasting more than 2–3 weeks without signs of healing.
  • Severe pain that interferes with eating, drinking, or speaking.
  • Recurring ulcers that appear frequently or in clusters.
  • Large or deep sores that bleed or leave scars.
  • Red or white patches in the mouth that persist or change in appearance.
  • Difficulty swallowing, chewing, or opening the mouth.
  • Swelling, numbness, or unexplained lumps in the mouth or neck.
  • Associated symptoms such as fever, fatigue, or unexplained weight loss.

Early evaluation helps identify underlying causes, rule out serious conditions, and start timely treatment, ensuring better oral and overall health.

Are you having health problems? Contact us today!

Address Business
Oronova Dental Care, Homeland Heights, Opposite to Jubilee walk, Sector 70, Mohali, Punjab
Contact With Us
Mail Us: oronovadentalcare@gmail.com.com
Book To Call : +918627069651
Working Time
Monday - Sunday: 10.00am - 09.00pm
x

We always support in emergencies, contact us immediately if you are experiencing any serious health problems.

Contact With Us!

Address: 511 SW 10th Ave 1206, Portland, OR United States

Support mail: Medicrosshealth@gmail.com

Opening Hours: Mon -Sat: 7.00am – 19.00pm

Emergency 24h: +1 800-123-1234

Cart (0 items)