Call Us when you Need Help!
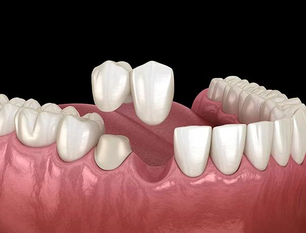
What Are Dental Bridges?
Dental bridges are fixed dental restorations used to replace one or more missing teeth by bridging the gap between healthy teeth. A bridge typically consists of artificial teeth (pontics) anchored to adjacent natural teeth or dental implants, restoring both function and appearance.
Bridges help you:
- Chew and speak properly without difficulty.
- Maintain the shape of your face and prevent a sunken appearance.
- Prevent remaining teeth from shifting into the gap, which could lead to bite problems.
- Restore a natural-looking smile, improving confidence and aesthetics.
Dental bridges are a long-lasting and effective solution for missing teeth when maintained properly
When is a Dental Bridge Required?
A dental bridge is recommended when one or more teeth are missing, and you want to restore function, appearance, and oral health. Missing teeth can lead to problems such as shifting of adjacent teeth, bite issues, difficulty chewing, and changes in facial structure.
Common Situations Requiring a Dental Bridge:
- One or more missing teeth in a row.
- Healthy adjacent teeth that can support a bridge.
- Difficulty chewing or speaking due to missing teeth.
- Desire to restore a natural-looking smile and prevent facial sagging.
- To maintain proper alignment of remaining teeth and prevent bite problems.
Your dentist will evaluate your oral health and recommend a bridge if it’s the best solution to restore function and aesthetics.
Types of Dental Bridges
Dental bridges are designed to replace missing teeth using different techniques, depending on your needs and oral condition.
- Traditional Bridges
- Consist of one or more artificial teeth anchored to crowns on adjacent natural teeth.
- Commonly used when there are healthy teeth on both sides of the gap.
- Cantilever Bridges
- Anchored to only one adjacent tooth.
- Used when there is a healthy tooth on just one side of the missing tooth.
- Maryland (Resin-Bonded) Bridges
- Feature metal or porcelain frameworks bonded to the back of adjacent teeth.
- Less invasive, requiring minimal alteration to neighboring teeth.
- Implant-Supported Bridges
- Supported by dental implants instead of natural teeth.
- Ideal when multiple teeth are missing, providing stability and long-term durability.
Advantage and disadvantage of bridges
Advantages of Dental Bridges
- Restore Function: Bridges help you chew and speak properly by filling the gap left by missing teeth.
- Improve Appearance: They restore your natural-looking smile and facial structure.
- Prevent Teeth Shifting: Bridges keep adjacent teeth from moving into the empty space, maintaining proper alignment.
- Long-Lasting Solution: With proper care, bridges can last many years.
- Quick Treatment: Dental bridges can often be placed faster than multiple implants.
Disadvantages of Dental Bridges
- Impact on Adjacent Teeth: Healthy teeth may need to be filed down to support a traditional bridge.
- Risk of Decay or Gum Disease: Improper cleaning under the bridge can lead to decay or gum problems.
- Limited Lifespan: Bridges may need replacement after 10–15 years due to wear or changes in the supporting teeth.
- Not as Strong as Implants: Bridges rely on adjacent teeth for support and may not be suitable for all patients.
How to Care for Your Dental Bridges
Proper care of your dental bridge ensures it remains functional, comfortable, and long-lasting.
Tips for Caring for Dental Bridges:
- Maintain Excellent Oral Hygiene
Brush twice daily and floss carefully around and under the bridge to prevent plaque buildup. - Use Special Cleaning Tools
Floss threaders or interdental brushes can help clean areas beneath the bridge effectively. - Regular Dental Check-Ups
Visit your dentist every 6 months to check the bridge, clean professionally, and monitor oral health. - Avoid Hard or Sticky Foods
Limit foods that could damage or loosen the bridge, such as hard candies, ice, or sticky sweets. - Report Any Issues Promptly
If the bridge feels loose, causes discomfort, or shows signs of damage, contact your dentist immediately.
By following these steps, your dental bridge can last many years while keeping your smile healthy and confident.
Are you having health problems? Contact us today!
Address Business
Contact With Us
Book To Call : +918627069651